Osteotomia correttiva con placca e recupero precoce dopo vizio di consolidazione su frattura di radio distale
Aspetto macroscopico della porzione distale del radio
Articolo informativo di Giuseppe Pinna per S. O. S. - “Osteomielitici d’Italia” - Onlus «Centro Servizi Informativi On-line per Osteomielitici e Pazienti dell’Ospedale CODIVILLA-PUTTI di Cortina d’Ampezzo».
Paziente: donna, età 30 anni
Diagnosi: esiti di frattura articolare radio distale sinistro.
Frattura marginale volare trattata in gesso e viziosamente consolidata.
All’esame clinico, a 6 mesi dal trauma, deficit completo della flessione e parziale dell’estensione.
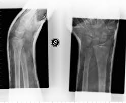
Situazione Pre Operatoria
![]() |
a 6 mesi dal trauma, deficit completo della flessione parziale deficit dell'estensione
|
![]() |
| Controllo radiografico medio/laterale prima dell'intervento |
Intervento chirurgico
Osteotomia intraarticolare del frammento viziosamente consolidato e osteosintesi con placca volare in acciaio Precise SVP.

Fase 1: osteotomia e stabilizzazione provvisoria con fili di Kirschner

Controllo intraoperatorio con amplificatore di brillanza

Fase 2: il frammento volare viene fissato solo con 3 viti bloccate.
Il supporto sub condrale e la tenuta delle viti permettono di affidarsi a un numero di viti limitato sufficienti a garan-tire la tenuta del frammento osseo.
Decorso post-operatorio
Mobilizzazione precoce dopo 2 settimane, che ha permesso un buon risultato funzionale a 2 mesi dall’intervento.

Controllo radio grafico finale

Pseudoartrosi infetta di radio e di ulna
Pubblicato su Blogger oggi 13 ottobre 2012 alle ore 23,29 da: Giuseppe Pinna de Marrubiu
.jpg)
.jpg)
Nessun commento:
Posta un commento