sabato 28 aprile 2012

(Scheda 32) Ancora specificazioni sulle Infezioni Osteo-Articolari ... (2ª parte)

Le Infezioni Osteo-Articolari
Di Giuseppe Pinna, S. O. S. - “Osteomielitici d’Italia” - Onlus  «Centro Servizi Informativi On-line per Osteomielitici».
2ª parte
                                  La gravità di questo malattia
 è maggiore e può essere attenuata
se la diagnosi è precoce e se il trattamento è corretto.
Osteomielite acuta ematogena

                                          
Fase di ascesso sott-periostio
- Febbre ondulante
- Astenia - pallore
- Dolori
Segni locali:
- Edema
- Infiammazione
Rossore
Calore locale
- Fluttuazione  (sede dell’ascesso)

                           
Fase di ascesso sott-periostio

L’ECOGRAFIA mostra l'ascesso
   Lo scollamento del periostio
   L’edema delle parti molli





    RADIOGRAFIA
    Aspetto a nuvola dell’osso
       Reazione del periosteo 






FASE DI ASCESSO SOTTO-PERIOSTIO                                                        

                                   →  

ASPIRAZIONE   Pus      Antibiogramma  


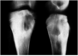
Osteomielite acuta ematogena nei bambini

Ragazzo, 15 anni

Osteomielite dopo una ferita di un dito:
Sclerosi e retrazione periostea


   ↓



















































----------------------------



Pubblicato su Blogger oggi  28 Aprile 2012 alle ore 18,49 da: Giuseppe Pinna de Marrubiu



Nessun commento:

Posta un commento