Osteomielite multifocale ricorrente
e biopsia ossea:
la difficoltà di sentirsi sicuri nell'inusuale.
Articolo informativo di Giuseppe Pinna per S.
O. S. - “Osteomielitici d’Italia” - Onlus «Centro Servizi Informativi
On-line per Osteomielitici e Pazienti dell’Ospedale CODIVILLA-PUTTI di Cortina
d’Ampezzo».
1 Clinica Pediatrica, IRCCS Burlo Garofolo, Trieste.
2 U.O. di Radiologia, IRCCS Burlo Garofolo, Trieste
Recurrent multifocal Osteomyelitis and bone biopsies: when enough is enough
Keywords: Joint pain, periosteal reaction, recurrent chronic osteomyelitis, therapy
|
Caso Clinico
|
Ricoverata presso la pediatria di zona riceve inizialmente terapia antibiotica iniettiva nel sospetto di artrite settica e successivamente, a fronte di non risposta clinica (persistenza di artralgia e tumefazione e comparsa di artralgia anche alla coxo-femorale omolaterale) si avvia terapia con FANS e viene trasferita in Clinica Pediatrica.
Durante il ricovero vengono prese in considerazione e via via escluse varie ipotesi diagnostiche, quali: artrite settica (non risposta alla terapia antibiotica, emocoltura negativa, reazione di Widal -Wright negativa), artrite tubercolare (Mantoux negativa), artrite correlata a malattia auto- immune a tipo Les o Dermatomiosite (complemento, ANA, ANCA tutti negativi) o a malattia infiammatoria intestinale (ecografia, colonscopia e scintigrafia addominale negative), neopla- sia (midollo osseo e mediastino nella norma).
Viene posta diagnosi di artrite pauciarticolare e avviata una terapia antinfiammatoria con steroi de e successivamente con FANS per 1 mese, con completa remissione della sintomatologia.
Quello che colpiva nella valutazione della diagnostica per immagini era l'aspetto, in corso di scinti- grafia, di ipercaptazione di tutto il femore, non solo delle articolazioni, dato che peraltro, vista la evidenza di artrite concomitante, non era stato particolarmente valorizzato pensando ad una generica “ipersensibilità” della scintigrafia. (figura 1)
Figura 1: riscontro di zone multiple di captazione (ginocchio, articolazione tibio-tarsica, femore destro e coxo-femorale destra).
Figura 1: riscontro di zone multiple di captazione (ginocchio, articolazione tibio-tarsica, femore destro e coxo-femorale destra).
A distanza di un anno (2004), la ragazza ritorna nuovamente alla nostra attenzione per la com- parsa di febbricola accompagnata da dolori agli arti inferiori, in particolare a destra, con indici di flogosi aumentati e rilievo obiettivo di sfumato deficit di forza all'arto inferiore destro, su base an- talgica.
L'ecografia e la radiografia dell'arto inferiore destro mostrano rispettivamente un minimo versamen to articolare a livello della coxo-femorale e un aspetto del femore, sempre a destra, di marcato is pessimento della corticale ossea, come da reazione periostale, con una relativa iperdiafania della spongiosa. (figura 2)
Figura 2: radiogramma del femore che mostra, al III medio, marcato aumento di spessore della corticale ossea sul versante interno
L'ecografia e la radiografia dell'arto inferiore destro mostrano rispettivamente un minimo versamen to articolare a livello della coxo-femorale e un aspetto del femore, sempre a destra, di marcato is pessimento della corticale ossea, come da reazione periostale, con una relativa iperdiafania della spongiosa. (figura 2)
Figura 2: radiogramma del femore che mostra, al III medio, marcato aumento di spessore della corticale ossea sul versante interno
Questi reperti associati al dato scintigrafico dell'anno precedente di ipercaptazione lungo tutto il femore, con artrite e risposta ai FANS, orientano verso un quadro di periostite ricorrente.
Viene comunque eseguita biopsia ossea che esclude una malignità .
Viene comunque eseguita biopsia ossea che esclude una malignità .
Vista l'ipotesi di periostite ricorrente inizia una terapia antiinfiammatoria con FANS continuata per tre mesi, con risoluzione della sintomatologia.
A febbraio 2005, la ragazza presenta nuovamente dolori all'arto inferiore di destra, saltuari, circa 1-2 volte alla settimana, della durata di circa 1 ora associati a lieve febbricola; 2-3 volte al mese il dolore si presenta anche di notte.
Il quadro laboratoristico (emocromo, indici di flogosi, complemento, LDH, fosfatasi alcalina) è nel la norma; negativa anche la ricerca degli anticorpi ASMA, LKM, ANCA, ANA, anti DNA E ANTI Bar-tonella.
Ripete una scintigrafia ossea nella ricerca di altre lesioni nel sospetto di una evoluzione in multifo-calità ma questa conferma solo l'ipercaptazione al femore di destra, negando la presenza di altre localizzazioni.
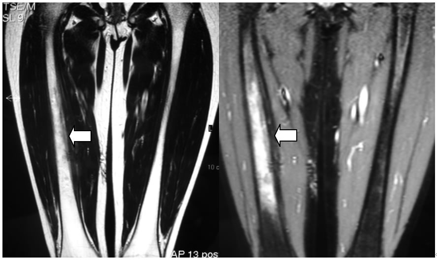
Visto il recidivare della sintomatologia a due anni dall'esordio, in una lesione monofocale, preoccu-pati comunque di poter perdere una diagnosi di tumore “prendiamo tempo” con l'esecuzione di una RMN (figura 3a, figura 3b),
Figure 3a, 3b: RM, piani coronali con mezzo di contrasto (T1) confermano il reperto e mostrano una marcata vascolarizzazione a tale livello.
Alla discussione collegiale con radiologo e ortopedico peraltro questo non basta (a fronte di un quadro monofocale, progressivo) e si decide comunque di eseguire una TAC per la migliore defini-zione sull'osso.
La TAC evidenzia, come atteso, un quadro di flogosi cronica con esuberante apposizione ossea pe riostale associata a modesta reazione ossea endostale (figura 4),
senza lesioni suggestive di tumore.
La TAC evidenzia, come atteso, un quadro di flogosi cronica con esuberante apposizione ossea pe riostale associata a modesta reazione ossea endostale (figura 4),
Figura 4: la TC, eseguita senza mezzo di contrasto, conferma l'importante reazione periostale (
) e mostra una discreta reazione endostale (
).
senza lesioni suggestive di tumore.
La lunga durata della storia, l'aspetto della radiologia convenzionale (assenza di immagini di se-questri), gli indici di flogosi pressoché normali rendevano improbabile l'ipotesi di una Osteomieli te cronica infettiva a decorso torbido, per cui è stata posta diagnosi di Osteomielite Cronica Ricorrente.
Il successivo decorso clinico si caratterizza per la comparsa di dolori agli arti superiori, con evi-denza di lesioni radiografiche di osteite-iperostosi disreattiva multifocale (figura 5).
A fronte di questa ripresa della malattia la diagnosi diventa naturalmente più semplice, ed è quella di una Osteomielite Multifocale Cronica Ricorrente (CRMO); viene avviata terapia steroidea, con successivo programma di lento scalo e prosecuzione con FANS.
Figura 5: il radiogramma dell'avambraccio mostra una zona di alterazione della struttura ossea a livello del ra- dio, in gran parte osteoaddensante, con piccole aree di rarefazione nel contesto.
A fronte di questa ripresa della malattia la diagnosi diventa naturalmente più semplice, ed è quella di una Osteomielite Multifocale Cronica Ricorrente (CRMO); viene avviata terapia steroidea, con successivo programma di lento scalo e prosecuzione con FANS.
La CRMO può associarsi ad acne pustolosa, componente dermatologica non necessariamente sin crona e piu' frequente nell'adulto, rientrando nella cosiddetta sindrome SAPHO (sindrome acne pustolose hyperostose osteite).
Sulla base della letteratura che indica l'uso del pamidronato nella Sapho e di segnalazioni aneddo-tiche sull'uso del pamidronato anche nella CRMO abbiamo deciso alla sospensione del cortisone, visto il ripresentarsi della sintomatologia, l'avvio di una terapia con difosfonati (neridronato so- dico), con un programma di infusioni ripetute.
Sulla base della letteratura che indica l'uso del pamidronato nella Sapho e di segnalazioni aneddo-tiche sull'uso del pamidronato anche nella CRMO abbiamo deciso alla sospensione del cortisone, visto il ripresentarsi della sintomatologia, l'avvio di una terapia con difosfonati (neridronato so- dico), con un programma di infusioni ripetute.
La ragazza è stata posta in trattamento per pochi mesi con apparente risultato iniziale, ma suc-cessivamente nonostante le infusioni la malattia riprende con dolori e un marcato peggioramento del quadro radiografico della sola lesione radiale destra (reazione periostale significativamente aumentata rispetto all'esame eseguito precedentemente, (figura 6)
rendendo necessario l'avvio di un ciclo di steroide).
Figura 6: reazione periostale significativamente aumentata rispetto all'esame eseguito precedentemente
rendendo necessario l'avvio di un ciclo di steroide).
L'entità dell'ultimo rilievo radiologico radiale è talmente impressionante che ripropone per l'enne-sima volta il dubbio di malignità.
In discussione collegiale con il radiologo, l'ortopedico e il reumatologo decidiamo per una seconda biopsia ossea che mostra ancora solo aspetti rigenerativi, escludendo una malignità.
In discussione collegiale con il radiologo, l'ortopedico e il reumatologo decidiamo per una seconda biopsia ossea che mostra ancora solo aspetti rigenerativi, escludendo una malignità.
A fronte di ciò è stata avviata terapia con metotrexate in un'ottica di lungo termine di “risparmio” di cortisone, come da letteratura.
In sostanza siamo di fronte ad una bambina che ha ricevuto 2 biopsie ossee e ripetute indagini ra diologiche per escludere una malignità in una diagnosi di malattia rara ma ben descritta in lette-ratura.
La difficoltà, a fronte del sospetto di una patologia molto grave, di basarsi sulla letteratura in as-senza di un vissuto è comprensibile, ma nulla toglie al ragionevole dubbio di una invasività ecces-siva.
La difficoltà, a fronte del sospetto di una patologia molto grave, di basarsi sulla letteratura in as-senza di un vissuto è comprensibile, ma nulla toglie al ragionevole dubbio di una invasività ecces-siva.
OSTEOMIELITE CRONICA MULTIFOCALE RICORRENTE E SAPHO:
SINOVITE, ACNE, PUSTOLOSI, IPEROSTOSI, OSTEITE
Dal 1961 in poi sono stati utilizzati diversi nominativi per descrivere una sindrome che interessa lo apparato muscolo-scheletrico unitamente alla cute, con modalità e tempi variabili a seconda dell'età di esordio e tra soggetti nella stessa fascia d'età1.
Nel 19872 tale entità è stata etichettata come SAPHO, la cui varietà pediatrica è ad oggi indicata come CRMO3, e il cui spettro è fondamentalmente composto da un'osteite infiammatoria non in fettiva, che puo' o meno essere associata ad una componente dermatologica, non per forza sin- crona, e piu' frequente nell'adulto, nelle femmine.
Nel 19872 tale entità è stata etichettata come SAPHO, la cui varietà pediatrica è ad oggi indicata come CRMO3, e il cui spettro è fondamentalmente composto da un'osteite infiammatoria non in fettiva, che puo' o meno essere associata ad una componente dermatologica, non per forza sin- crona, e piu' frequente nell'adulto, nelle femmine.
Il 10-33% dei soggetti con pustolosi palmo-plantare e acne presentano anche lesioni ossee in-fiammatorie, e tra il 18 e il 53% dei soggetti con osteite ricorrente presentano acne e pustolosi palmo-plantare, che possono presentarsi da 2 a 38 anni dopo l'insorgenza del quadro osteo-arti colare.
Le lesioni cutanee sono rappresentate da pustole intradermiche sterili palmo-plantari, acne in for-ma severa (conglobata, fulminante, idroadenite suppurativa), e a volte forme di psoriasi pustolo-losa difficile da distinguere dalla pustolosi semplice.
Le lesioni cutanee sono rappresentate da pustole intradermiche sterili palmo-plantari, acne in for-ma severa (conglobata, fulminante, idroadenite suppurativa), e a volte forme di psoriasi pustolo-losa difficile da distinguere dalla pustolosi semplice.
Le lesioni scheletriche sono caratterizzate da sinovite, osteite, iperostosi e piu' raramente en-tesite, colpiscono dei segmenti bersaglio diversi tra adulti e bambini, generando lesioni singole o multiple, simultanee o successive, con un decorso clinico variabile da episodi singoli ad un ciclo di riesacerbazioni e remissioni subentranti.
Le lesioni osteo-articolari si accompagnano a dolore, limitazione funzionale, flogosi delle parti molli circostanti e modeste manifestazioni sistemiche quali febbricola incostante e lieve rialzo degli indici di flogosi (VES e PCR) 4.
Le lesioni osteo-articolari si accompagnano a dolore, limitazione funzionale, flogosi delle parti molli circostanti e modeste manifestazioni sistemiche quali febbricola incostante e lieve rialzo degli indici di flogosi (VES e PCR) 4.
I segmenti più colpiti, in ordine di frequenza, sono nell'adulto le articolazioni sterno-clavicolari, costo-sternali, costo-condrali e manubrio-sternali, quindi la spina dorsale (con aspetti di spondilo- discite aspecifica), le articolazioni sacro-iliache (più spesso monolateralmente), le ossa lunghe (regione meta-diafisaria del femore distale, tibia prossimale, perone, omero, radio e ulna), le os-sa piatte (ileo e mandibola). Sono presenti inoltre un'artrite assiale in circa il 90% dei casi (ginoc-chia, anche), e nel 36% dei casi un'artrite periferica di mani e piedi, prive di aspetti di sclerosi e anzi con aspetti di osteoporosi iuxta-articolare.
Nel bambino la malattia si presenta più comunemente senza lesioni cutanee e i segmenti più spes-so colpiti sono, in ordine di frequenza, le ossa lunghe degli arti inferiori, le clavicole, la spina dor-sale e le articolazioni sacro-iliache.
Nelle ossa lunghe si osserva a volte iniziale osteolisi nella metafisi adiacente al piatto di accresci- mento, seguita da sclerosi con iperostosi e reazione periostale, ed è rara la chiusura prematura del piatto di accrescimento.
L'immagine RX puo` mostrare la compresenza di questi aspetti, e mai immagini riferibili a sequestri, e per il resto è sovrapponibile a un quadro radiologico di Osteomielite cronica, a parte per la fase iniziale, in cui aree di osteolisi danno alle lesioni un aspetto più aggressivo.Il coinvolgimento midollare è evidenziato al meglio dalla RMN.
E` frequente l'edema delle parti molli, ma non vi è formazione di ascessi.
Le lesioni clavicolari consistono in un'iniziale lisi midollare del capo mediale, cui segue una reazione periostale diffusa con aspetto a buccia di cipolla che evoca una lesione maligna, e infine sclerosi. La RMN è utile in questo caso soprattutto per differenziare le lesioni attive (iperintense in T2) da quelle quiescenti (iperintense in T1), e per mostrare l'edema dei tessuti molli circostanti.
Il coinvolgimento della spina dorsale5 è di tipo spondilo-discitico, più spesso di un singolo corpo vertebrale (e fino a un massimo di quattro), a livello toracico, con lesioni prevalentemente litiche e irregolarità del piatto vertebrale con alterazioni del midollo osseo.
Clinicamente si osservano collassi dei corpi vertebrali, con minimo coinvolgimento discale e senza attraversamento dello spazio intervertebrale, diversamente da quanto accade nelle lesioni infetti-ve, spesso associate a colture negative.
Il coinvolgimento della spina dorsale5 è di tipo spondilo-discitico, più spesso di un singolo corpo vertebrale (e fino a un massimo di quattro), a livello toracico, con lesioni prevalentemente litiche e irregolarità del piatto vertebrale con alterazioni del midollo osseo.
Clinicamente si osservano collassi dei corpi vertebrali, con minimo coinvolgimento discale e senza attraversamento dello spazio intervertebrale, diversamente da quanto accade nelle lesioni infetti-ve, spesso associate a colture negative.
Due sono le principali ipotesi patogenetiche per spiegare la sindrome: un'infezione ossea da pato geno a bassa virulenza, con trasmissione ematogena, o una reazione immunitaria ad un trigger batterico/virale, da un lato, e un meccanismo simil spondilo-artropatia sieronegativa dall'altro. Il razionale della prima ipotesi è confortato dall'aspetto bioptico delle lesioni (a tipo Osteomielite acuta, subacuta e cronica) e dall'aspetto radiologico delle lesioni spinali e delle ossa lunghe, che ricordano ancora lesioni infettive subacute o croniche; l'isolamento di propionibacterium acnes nelle biopsie ossee dei soggetti affetti è stato rilevato, ma non è significativo in quanto rappre-senta un abituale contaminante di campioni ottenuti per via transcutanea6, e trials effettuati con antibiotici si sono rivelati inefficaci, anche se vengono riportati in letteratura aneddotici successi per terapie protratte con doxiciclina7.
La seconda ipotesi è stata suggerita dalla elevata frequenza del coinvolgimento assiale, dalla pre-senza di ossificazioni paravertebrali simili a quelle che si rilevano nell'artrite psoriasica, dalla possi-bile associazione con MICI, e dal dato riportato in taluni studi di un pattern HLA-B27 che sarebbe presente nel 13-30% dei casi, ma che altri studi non confermano.
Il fattore reumatoide in tutti gli studi è risultato negativo.
Il fattore reumatoide in tutti gli studi è risultato negativo.
La diagnosi è prevalentemente radiologica, ed è agevolata dal sospetto clinico e quando le lesioni si localizzano nei distretti tipici, specie se accompagnate da lesioni cutanee.
La sindrome può così essere differenziata da altre patologie ossee con aspetto radiologico simile, quali il morbo di Paget, l'Osteomielite infettiva, l'Osteosarcoma, il sarcoma di Ewing.
La terapia8 si avvale dell'uso di FANS, per controllare i sintomi, steroidi in caso di dolore severo e insuccesso dei primi (eventualmente con codeina) ed eventualmente di immunosoppressori quali metotrexate e ciclosporina.
Esistono numerosi lavori che riconoscono ai difosfonati ed in particolare al pamidronato una su-periorità nel controllare i sintomi ed in alcuni casi nel ridurre la frequenza delle esacerbazioni.
Questo sia sulla base dell'attività antiosteoclastica propria dei difosfonati, visto l'elevato rimodel-lamento osseo che caratterizza tale sindrome, sia come suggerito da alcuni sulla base della azione antinfiammatoria 9,10,11,12
Questo sia sulla base dell'attività antiosteoclastica propria dei difosfonati, visto l'elevato rimodel-lamento osseo che caratterizza tale sindrome, sia come suggerito da alcuni sulla base della azione antinfiammatoria 9,10,11,12
- Earwaker JW, Cotten A.. SAPHO: syndrome or concept? Imaging findings. Skeletal Radiol 2003;32(6):311-327.
- Chamot A, Benhamou CL, Kahn MF, et al. Acne-pustulosis-hyperostosis-osteitis syndrome. Results of a national survey. 85 cases Rev Rhum Mal Osteoartic 1987;54:187-196.
- Hatem SF, Petersilge CA, Park JK. Musculoskeletal case of the day. Chronic recurrent multifocal osteomyelitis (CRMO). Am J Roentgenol 1997;169(1):285, 289-91.
- Hayem G, Bouchaud-Chabot A, Benali K, et al. SAPHO syndrome: a long term follow up study of 120 cases. Semin Arthritis Rheum 1999;29(3):159-71.
- Anderson SE, Heini P, Sauvain MJ, et al. Imaging of chronic recurrent multifocal osteomyelitis of childhood first presenting with isolated primary spinal involvement. Skeletal Radiol. 2003;32(6):328-36.
- Savolainen HA, von Essen R, Nissinen AJ, Jahkola M. Propionibacterium acnes in purulent arthritis: probable cause of iatrogenic infection. J Rheumatol. 1988;15(6):1040-1.
- Ballara SC, Siraj QH, Maini RN, Venables PJ. Sustained response to doxycycline therapy in two patients with SAPHO syndrome. Arthritis Rheum 1999;42:819-821.
- Rothschild B, Schils J, Lavelle H. Potential therapeutic approach to SAPHO. Semin Arthritis Rheum 2000; 29(5):332-4.
- Kopterides P, Pikazis D, Koufos C. Successful treatment of SAPHO Syndrome with zoledronic acid. Arthritis Rheum 2004;50(9):2970 -3
- Amital H, Applbaum YH, Aamar S, Daniel N, Rubinow A. SAPHO Syndrome treated with Pamidronate: an open-label study of 10 patient. Rheumatology 2004; 43(5):658-61.
- Kerrison C, Davidson JE, Cleary AG, Beresford MW. Pamidronate in the treatment of childhood SAPHO Syndrome. Rheumatology 2004;43(10):1246 -51
- Wedman J, van Weissenbruch R. Chronic recurrent multifocal osteomyelitis. Ann Otol Rhinol Laryngol 2005;114(1 Pt 1):65-8
Vuoi citare questo contributo?
P. Salierno, G. Cont, F. Verzegnassi, E. Da Dalt, E. Faleschini, S. Bertrand, F. Zennaro. OSTEOMIELITE MULTIFOCALE RICORRENTE E BIOPSIA OSSEA:LA DIFFICOLTà DI SENTIRSI SICURI NELL'INUSUALE.. Medico e Bambino pagine elettroniche 2006; 9(2) http://www.medicoebambino.com/_lesioni_sapho_artrite_ossea_osteomielite_terapia_cronica_ricorrente_flogosi_diagnosi_fans
ultimo aggiornamento: 10 Marzo 2006
La riproduzione senza autorizzazione è vietata.
Le informazioni di tipo sanitario contenute in questo sito Web sono rivolte a personale medico specializzato e non posso- no in alcun modo intendersi come riferite al singolo e sostitutive dell'atto medico.
Per i casi personali si invita sempre a consultare il proprio medico curante.
I contenuti di queste pagine sono soggetti a verifica continua; tuttavia sono sempre possibili errori e/o omissioni.
Medico e Bambino non è responsabile degli effetti derivanti dall'uso di queste informazioni.
Le informazioni di tipo sanitario contenute in questo sito Web sono rivolte a personale medico specializzato e non posso- no in alcun modo intendersi come riferite al singolo e sostitutive dell'atto medico.
Per i casi personali si invita sempre a consultare il proprio medico curante.
I contenuti di queste pagine sono soggetti a verifica continua; tuttavia sono sempre possibili errori e/o omissioni.
Medico e Bambino non è responsabile degli effetti derivanti dall'uso di queste informazioni.
Unauthorised copies are strictly forbidden.
The medical information contained in the present web site is only addressed to specialized medical staff and cannot substitute any medical action.
For personal cases we invite to consult one's GP.
The contents of the pages are subject to continuous verifications; anyhow mistakes and/or omissions are always pos- sible.
Medico e Bambino is not liable for the effects deriving from an improper use of the information.
The medical information contained in the present web site is only addressed to specialized medical staff and cannot substitute any medical action.
For personal cases we invite to consult one's GP.
The contents of the pages are subject to continuous verifications; anyhow mistakes and/or omissions are always pos- sible.
Medico e Bambino is not liable for the effects deriving from an improper use of the information.
Copyright © 2001 - 2006 Medico e Bambino
Via S.Caterina 3 34122 Trieste
tel: 040 3728911 fax: 040 7606590
Partita IVA 00937070324
e-mail: redazione@medicoebambino.com






Nessun commento:
Posta un commento